Dental Implants

There are various reasons why a patient may decide to have dental implants – they may have teeth missing or just simply don’t want dentures. 

website templates

If you have lost a tooth or several teeth, dental implants can help you to regain your confidence and smile again. Missing teeth can not only look unsightly but can be bad for your health and you may have lost the ability to chew food correctly.

Mr Haers will discuss the least invasive and most cost-effective solution for you, which meets your expectations. During your treatment you will be given the very best care by an understanding professional team who will be available to help you throughout your journey.

If you have a high smile line and your gums are very visible it is crucial the soft tissue has a natural appearance around the gum which surrounds new tooth, with no black areas.

Complex aesthetic dental surgery requires a multi-disciplined approach through all the phases from diagnosis, planning, placing to restoring and the team communicate every step of the way to ensure your mouth is fully reconstructed.

Mr Haers can create the ideal skeletal and soft tissue situation for teeth to be completely fixed into the jaw, provide an outstanding placement and the restorative team can carry out advanced aesthetic techniques to complete your smile.

Your individual needs will be discussed at your consultation with Mr Haers to provide you with a bespoke tailored treatment plan to give you back the confidence to smile again.
The dental implant treatment process is discussed thoroughly with you to ensure that you are completely comfortable with the procedure and how the process works before undergoing any treatment.

Mr Haers inserts the dental implant and works alongside your restorative dentist who provides the restorative phase of treatment - the crown / bridge or denture.

The Dental Implant process

Step 1 – The initial consultation
During your initial consultation with Mr Haers you will be examined and your expectations discussed. You will also be asked about your general health as well as your oral health an x-ray and/or CBCT scan will be taken (if your dentist has not taken any recent ones). A treatment plan will be drawn up and any recommendations will be discussed in detail. You will be sent a cost estimate of the treatment to be provided by Mr Haers following the consultation. A separate cost estimate from the restorative dentist will be given.

Step 2 – Pre-Implant surgery
In some cases, pre-implant preparation is needed if the bone is not strong enough to support the implant. If this is indicated, in the majority of cases this can be augmentated using bone substitutes by placing it over the weakened area of bone where the implant will be placed at a later date once healed.

Mr Haers will follow up after all pre-implant surgery to assess healing and ascertain when the insertion of the implant can take place.

Step 3 – Implant surgery
Once the treatment plan has been agreed and finalised by all, a date can be arranged for you to proceed. The implant surgery will generally be done at a clinic in Guildford, unless you have medical needs requiring hospital facilities. Your procedure will be carried out either under a local anaesthetic, local anaesthetic and IV Sedation or under general anaesthetic at a hospital. Mr Haers will insert the implant. A gap will still be visible at this stage as the implant is placed below to gum level and covered with a temporary cover screw whilst your mouth heals. There is sometimes the possibility of placing a temporary solution for appearance and your restorative dentist will advise on this.

Step 4 – Healing period
The full healing period can be from 6 weeks onwards. This is needed to allow the existing bone to fully osseointegrate with the implant that has been inserted, which will provide a solid foundation for the new crown/ bridge or denture. Approximately 1-2 weeks post operatively you will attend a follow-up appointment to ensure that your mouth is healing well. Once your implants have integrated into your mouth you will be under the care of your restorative dentist who will create your new teeth.

Step 5 – Exposure
Before impressions can be made by the restorative dentist, your implant will need exposing if it hasn’t self-exposed. This is a painless procedure done under local anaesthesia and takes no longer than 30 minutes.

Step 6 – Restorative phase
Usually several months after the implant is placed and has osseointegrated into the bone, your restorative dentist will take impressions of your implant fixture heads so that your new teeth can be made to fit perfectly.

Step 7 – Final Restoration
At your final appointment your new teeth will be fitted by your restorative dentist.

Benefits of dental implants include
• Restore the function of your teeth
• Can improve your oral health
• Can lead to improved oral hygiene
• Provide excellent aesthetic results
• Ability to eat with confidence again
• Helps improve facial structure 

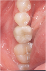
Before

After

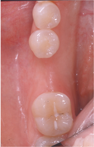
Before

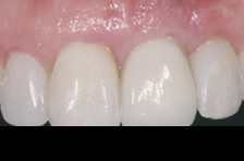
After